ونیر
ونیر دندان را به اسم های مختلفی می شناسند، مانند ونیر یک جلسه ای، کامپونیر، ونیر کامپوزیت و در برخی موارد باندینگ کامپوزیت. لمینت دندان نسبت به ونیر دندان روشی تهاجمی تر برای بازگرداندن لبخند به شمار می رود. در صورتی که دندان ها دچار شکستگی یا آسیب دیدگی شده باشند، ونیر دندان بهترین گزینه برای نصب مستقیم بر روی دندان و داشتن ظاهری زیبا می باشند.
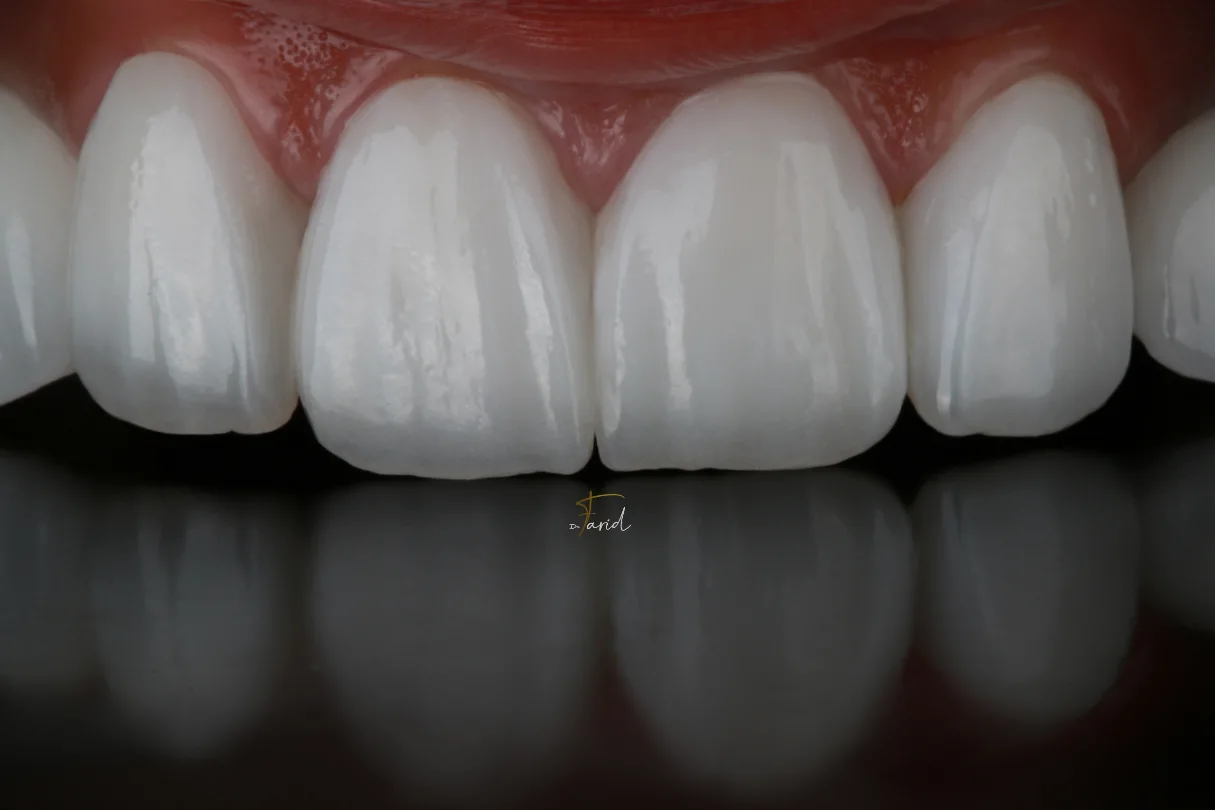
ونیر دندان جایگزین محافظه کارانه تر نسبت به لمینت به شمار می رود که از جنس رزین نیمه شفاف بوده و تنها در یک جلسه توسط دندانپزشک با ظرافت روی دندان بیمار نصب و محکم می شود. ونیر دندان متنوع تر و مقرون به صرفه تر از لمینت می باشد.
ونیر دندان به دلیل مقرون به صرفه بودن، سریع انجام شدن و داشتن ظاهری زیبا و طبیعی در بین مردم از محبوبیت ویژه ای برخوردار است. می توان بسته به تمایل بیمار بر روی هر تعداد از دندان بیمار ونیر نصب کرد و هیچ محدودیتی در این زمینه وجود ندارد. هزینه ی ساخت لبخندی زیبا با ونیر دندان، بسیار کمتر از لمینت دندان می باشد. ونیر دندان می تواند جایگزین مناسبی برای لمینت باشد و نقص های بسیاری که ممکن است شما را از داشتن لبخندی زیبا منع کند را برطرف می نماید.
کلینیک دندانپزشکی دکتر فرید با دارا بودن کادر مجربی از بهترین پزشکان این تخصص همچون جناب آقای دکتر فاضلی توانسته است آسایش و رضایت مراجعین گرامی را فراهم آورد.